オールセラミックで奥歯を修復

2026.02.12 虫歯治療

オールセラミックで奥歯を修復

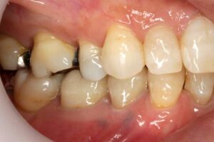
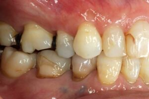
症例1

セラミックを入れる直前

セラミックを入れた後

 

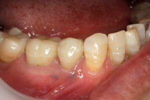
症例2

処置前(下顎真ん中の2本)

セラミック治療後

治療後(下顎真ん中の2本)

 

セラミック

 

1.患者様の主訴:銀歯を白くしたい

 

2.診断結果:

神経を取っているため、詰めるタイプの修復では歯が割れるリスクが高い

 

3.治療内容:

歯の強度を上げるため全周を削ってクラウンの形態にした

 

4.治療後経過:

セラミッククラウンで強度と審美性を回復

 

5.治療期間:根の治療後2回

 

6.治療費用:

奥歯のセラミック1本¥121,000

 

7.リスク・副作用:

強い歯ぎしりなどで破折のリスク

一覧へ
電車でお越しの方
田園都市線 用賀駅 徒歩2分
駐輪場
当ビル左側に駐輪スペースがございます。左側のスペースにお止め下さい。
駐車場
当院の駐車場はございません。お隣にコインパーキングがございますが、
当院との提携はございません。