
虫歯治療
銀歯は入れません。歯を削る量は最小限にして、自然で長持ちするハイブリッド素材を用いて、元の歯のように「白い歯」にします。
歯を削るのは最小限にして、元の歯のような自然な仕上がりにします。セラミックの粒子を樹脂で固めた素材を使いますので、型を取ることもなく1回30分程で終わる治療です。歯に最もダメージの少ない虫歯治療と言えます。レジン充填、ハイブレッドセラミック、ダイレクトボンディングなど様々な名称がつけられていますが、全て同じものです。
ダイレクトボンディングならこんなこともできます。歯を削ることなく、前歯の隙間を埋めています。ネール(付け爪)のように、歯の表面に色を合わせながら材料を盛るだけ。一切歯を削ることがないので、歯にダメージが残ることはありません。
虫歯は痛くありません。皆さんが思っている虫歯の痛みは、虫歯が大きくなって神経まで到達して起きる「歯髄炎」の痛みなのです。歯髄炎まで進行してしまったら神経を取る為に歯を大きく削らなければなりません。当然歯は脆くなり、やがて抜かなかればならなくなります。
金属やセラミックを虫歯に詰める為には、健康な歯をたくさん削らなければなりません。歯をたくさん削れば脆くなるのは当然です。ですから当院ではプラスティックを詰めます。しかし、多くの方がセラミックを入れる時には歯をたくさん削ることで歯が欠けやすくなることを気に掛けず、プラスティックを詰めた時にはプラスティクが欠けることを気にされます。詰め物は欠けてもいいという考えを持ちませんか?
虫歯は虫歯菌による感染症です。虫歯を削った面は感染に弱く、接着剤でコーティングして守ることが重要です。そして、その接着剤を長持ちさせることこそ、歯を長持ちさせる秘訣です。それには、接着面に出来るだけ負担をかけないような力学的な配慮が必要です。詳しくは詳細をご覧下さい。
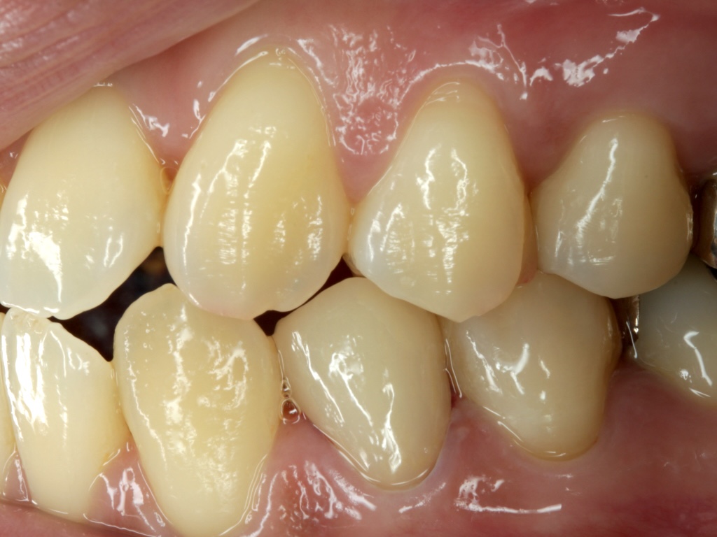
写真の中に1本だけセラミックを被せた歯があります。どれか分かりますか?
歯の神経を取ってしまうと、構造的に脆くなってしまいます。歯は外側が一番硬いエナメル質、内側が次に硬い象牙質、中心は神経が入っている空洞といった構造になっています。神経を取ったら、中心には柔軟性のあるグラスファイバー、その外側には象牙質と同じ物性のプラスティック、一番外側にセラミックで修復すると元の歯に近い構造になり、歯が割れにくくなります。
以前のセラミックは、技術的な問題から金属の内層にセラミックを焼き付けていた為、色の出方が不自然でした。オールセラミックは、歯の構造と似ている為、歯と同じ色合いを再現しやすくなりました。また、内部で問題が起こっても、透けて見えるので、トラブルを早く発見できるといったメリットがあります。
もし、歯を抜かなければならないと言われた事に納得できていないのであればご相談ください。歯を治せるかどうかは、歯科医の技量に左右されます。当院で治せるものかどうかを客観的に判断して、具体的な理由付けをしてご説明いたします。
移転に伴いマイクロスコープを導入しました。これまで使っていたメガネタイプのルーペに比べ格段に良く見えるようになった為、根の中の汚れの取り残しが格段に少なくなりました。
根の治療は細かい作業で、とても時間のかかるものです。その時間を短縮できると歯科業界で話題になっているキツツキコントラを導入しました。今までは、楕円形の根や途中で曲がった根の場合は、手作業で感染歯質を削っていましたが、キツツキコントラによってこれを高速上下運動で素早く安全に削り取ることができるようになりました。