金属、セラミック、プラスティクを詰めた時、お口の中の環境を再現して比べてみましょう。
| 衝撃の伝導 | 熱膨張 | 変形 | 接着性 | 強度 | |
| 金属 | × | × | × | △ | ◎ |
| セラミック | × | ◎ | ◎ | × | ◯ |
| プラスティック | ◎ | ◎ | ◎ | ◎ | △ |
衝撃の伝導というのは、噛んだ時に接着面に衝撃が伝わりやすいものをバツとしました。
接着面に負担がかからないのは、衝撃が伝わりにくく、歪みが少ない方が有利です。
ダイレクトボンディング

健康な歯をなるべく削らない治療法は?

なぜダイレクトボンディングが接着面の保護に優れているのか

ダイレクトボンディングの気になる耐久性

ダイレクトボンディングは綺麗に仕上がるのか。審美性を検証
削る量を比較
虫歯を削って「金属」や「セラミック」を詰めるステップが上の段、プラスティックを詰めるのが下の段になります。プラスティックは虫歯だけを削り取れば済みますが、金属やセラミックは一塊で詰める必要があるためかなり大きく削らなければなりません。また、型を取って模型上で作るため治療は2回かかります。
歯に詰めるプラスティックの構造
プラスティックと言っても、身の回りにあるプラスティクとは違います。セラミックの小さな粒子が石ころみたいにゴロゴロしていて、それをプラスティック(樹脂)で固めたものが歯科で使うプラスティクです。セラミックが入っているので、摩耗に強く、プラスティックで補強してあるので粘りがあります。その為ハイブリッドセラミックとも呼ばれています。
歯を削った面の保護が大切
虫歯治療で大切なのは、「虫歯を完全に削り」「削った面を保護する」ことがとても重要です。では削った面を保護するのは何か?「接着剤」です。次に「接着剤を長持ちさせる」にはどうしたら良いか?「力を加えない」ようにすれば良いのです。ではどうやって?残念ながら奥歯では常に力が加わります。ならば、「接着面に負担のかかりにくい材料」を探しましょう。
金属
歯に衝撃を加えた時、接着面に一番衝撃が伝わりやすいのが金属です。熱による膨張収縮もあります。叩かれていると変形してきます。また、接着剤との相性もそれほど良いものではありません。そのため、一番接着面が壊れやすいのが金属です。さらに問題なのは、光を通さないため金属の裏側の様子がわからず、虫歯が始まっても確認できないことです。
セラミック
セラミックも、接着面に衝撃を伝えやすい材料です。ただ、変形や熱による膨張収縮はほとんどありません。残念なのは、接着剤との相性が非常に悪いのが欠点です。セラミックによく付く接着剤がないのです。もう一つの欠点は割れやすいという事です。ただ、割れる時は何かしらトラブルが起こった時ですので、歯より先に割れてくれれば、歯は守られるという考え方もできます。
プラスティック(ハイブリッドセラミック)
プラスティックは、他の材料に比べ柔らかいため接着面に一番衝撃を伝えにくい材質です。熱や衝撃による変形はほとんどありません。何より大きなメリットは、接着剤との相性がいいことです。現在、接着剤はプラスティック系のものが主流で、当然良く付きます。というより、そもそもセラっミクの粒子を樹脂で固めたものなので、セラミックの粒子が入った接着剤と考えることもできます。
金属、セラミック、プラスティクを詰めた時、お口の中の環境を再現して比べてみましょう。
| 衝撃の伝導 | 熱膨張 | 変形 | 接着性 | 強度 | |
| 金属 | × | × | × | △ | ◎ |
| セラミック | × | ◎ | ◎ | × | ◯ |
| プラスティック | ◎ | ◎ | ◎ | ◎ | △ |
衝撃の伝導というのは、噛んだ時に接着面に衝撃が伝わりやすいものをバツとしました。
接着面に負担がかからないのは、衝撃が伝わりにくく、歪みが少ない方が有利です。
治療後18年経過
18年前の治療です。ほとんど問題ありません。プラスティックといっても、セラミックの細かい粒子を樹脂で固めたものですので、耐久性も備えています。ハイブリッドセラミックと言われる所以でもあります。
治療後3年
僅か3年でこのような状態になっていました。このような症例は稀ですが、耐久性に不安が残る一つの証拠です。ただ、よく観察してみると細かいヒビが入っているのは、修復した箇所だけではなく、エナメル質にも無数のヒビが入っています。おそらく、食いしばりや歯軋りの著しい方だと思われます。セラミックを入れても同じような結果になった可能性はあります。
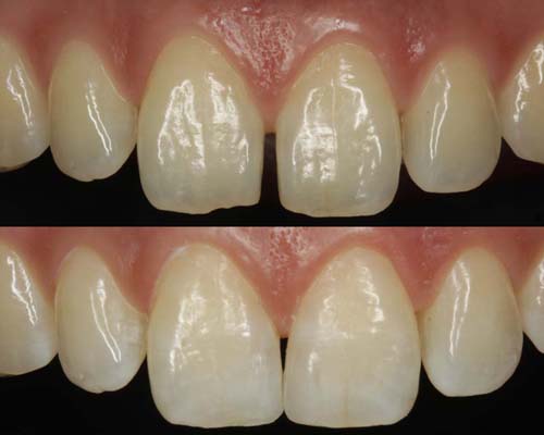
隙間を埋めた症例
歯と歯の隙間が気になるとのことで、ダイレクトボンディングで隙間を埋めました。歯を削ることもなく、僅か1時間で終わりました。このように、プラスティックを詰めた痕跡が分からないほど、審美的に仕上げることができます。もちろん、きれいに仕上げるためには高い技術を必要とします。