
虫歯治療
DENTRE
入れ歯の製作には職人技的な勘所を押さえておくことがとても大切です。
専門家にお任せ下さい。
入れ歯の形で違いがわかる
写真の入れ歯の上と下とでは随分形が違いますが、両方とも同じ人の下の入れ歯です。どちらが良いのか、最初は私も全くわかりませんでした。実は多くの歯科医師も、入れ歯の勉強を相当しないと判断ができません。
難しい型取り
歯茎や粘膜は柔らかく、型を取る材料の硬さや力の入れ具合によって、取れてくる型は全く違うものになってしまいます。この硬さや力加減は、講義で伝えられるものではなく、それこそ師匠の技を見て盗む様な努力をしないと習得できません。
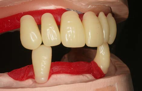
歯を1個1個並べていく
人工歯は、1本1本並べていきます。既に歯は無くなっていますので、お口の中の形からどこに並べるかを想像するしかありません。とても重要な作業もあり、非常に難しい作業でもあります。10人の歯科医がいれば10通りの歯並びができるといっても過言ではありません。
奥が深いから面白い
入れ歯は、不自由無くお食事できるようにするというゴールは一つですが、その形や歯並びを自由に設計できてしまいます。様々な道具といっしょで作り手の技が使い勝手に大きく影響して来ます。だからこそ、奥が深く私たちの探究心を揺さぶるのです。
模型を読む
歯の模型を見ていると、歯周病で歯を失ったのか虫歯で歯を失ったのかおおよそ見当がつきます。また、この患者さんは噛む力が強いのか弱いのか、右で噛んでいるのか左で噛んでいるのかといったことまで解ってきます。このように診断用模型と向き合いながら、入れ歯の設計をしていきます。どの当たりに歯を並べようかとか、入れ歯の長さはどのへんにしようとかいったことを考えながら、診断用模型に入れ歯の設計図を書き入れていきます。
高度な技術を必要とされる型取り
設計図どおりの型が取れるよう、診断用模型を使って専用のトレーを作ります。2回目の型は、そのトレーを使って、筋肉の動きや粘膜のひだなどを考慮に入れた型を取っていきます。これが、入れ歯の最終的な形態になります。この型取りはとても難しいステップです。粘膜は柔らかいので、術者の力加減や患者さんのお口の動かし方によって形が変わってしまいます。違和感の少ない安定した入れ歯を作るためには、とても大切なステップといえるでしょう。
解剖学的な情報を組み合わせ、噛み合わせを取る
上下の歯がいくらか残っていて、噛む位置が決まっていれば噛み合わせの位置を取ることは難しくありませんが、全く歯がないような場合は、咬合床と呼ばれるものを作って噛み合わせを取ります。しかし、歯が無いとどこで噛ませたらいいのか解りません。そのため、出来るだけ多くの解剖学的な情報を参考にしながら、正しい噛み合わせの位置に誘導しなければなりません。
噛み合わせ・審美性・話しやすさ
すべてに配慮
人工歯を並べる位置は患者さんごとに異なります。そのため、人工歯は1本ずつ分かれていて、自由に配置できるようになっているのです。術者の知識と技術がもっとも必要とされる作業です。患者さんに満足して頂ける入れ歯を作るには(1)噛み合わせ (2)審美性 (3)話しやすさをすべて満たさなければなりません。これらを総合的に配慮しながら入れ歯を作ることで、より元の歯に近い噛み心地を提供できるのです。
「ピンクの部分」にまでこだわる
写真は発音の検査をしているところです。入れ歯の形は、食べ物の流れをコントロールしたり発声時の音を作るのにもとても影響を及ぼします。ですから、一見何の変哲もなさそうなピンクの部分も、より快適な入れ歯を作るためには非常に重要な役割を担っています。こうした細部のこだわりがピッタリの入れ歯作りに必要な作業なのです。
インプラント支持型の入れ歯
これまで入れ歯を作ることが非常に難しいことを色々と説明して来ました。そして、どんなに良い入れ歯を作っても、残念ながら元の歯のような噛み心地には及びません。当初は入れ歯でなんとかしようとしていましたが、15年ほど前に入れ歯の限界を感じてインプラントを始めました。これまでの経験から、インプラントを入れられるのであれば、入れ歯よりインプラントの方が良いというのが私の考えです。
審美性も良くなる
写真の症例は上顎に4本のインプラントを固定源とした入れ歯です。通常の入れ歯に比べ噛んだときの感触が非常によく、歯かけるバネがなく見た目も優ています。インプラントがしっかり支えてくれるので、入れ歯を小さくすることも可能です。入れ歯と組み合わせるとインプラントの本数が少なくて済むので、インプラントだけで治すより経済的に有利です。
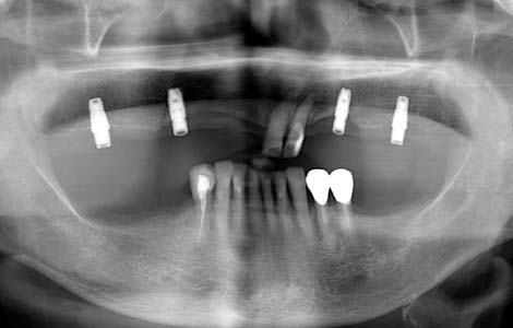
すれ違いはインプラント
入れ歯を外した時に、上下の歯が1箇所も噛み合わない状態を、「すれ違い咬合」と呼びます。この様な状態の方に入れ歯を作っても、噛むたびに歯がない方が大きく沈み込んしまうため、入れ歯ががたつき満足してもらえることはありません。この症例では、下の入れ歯を何度作っても痛くて噛めないという訴えでした。右下に傷がありました。
インプラントで入れ歯の沈みこみを抑える
解決策は、歯を抜いて総入れ歯にすることで入れ歯の沈みこみを均等にするか、インプラントを入れて入れ歯の沈みこみを抑えるようにするしかありません。この症例では右下に2本のインプラントを入れました。これで右下の入れ歯の沈みこみが防げるようになったので、痛みもなくお食事ができるようになりました。