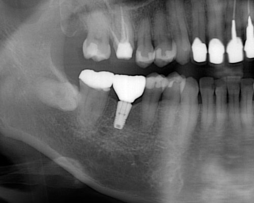
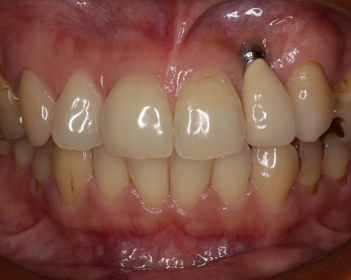
インプラントを入れるかどうか迷っている方へのメッセージ
みなさんは歯を失ったら、元のように「噛めるようになりたい。」と考えられるのではないでしょうか。そして3つの選択肢のうち、ブリッジとインプラントは元の歯と同じように噛めますが、入れ歯は3割から5割の力でしか噛むことができませんので、多くの方がブリッジかインプラントのどちらにするかと悩み始めます。歯にダメージを与えないインプラントの方が良いに決まっていますが、「骨に金属のビスを打ち込む」ということに抵抗を感じる方も多いと思います。
見落としがちなポイント
しかし、ここで多くの方が見落としているポイントがあります。ブリッジや入れ歯を入れても、歯の根が増えるわけではないので、残っている歯の負担を軽減することはできません。これが、インプラントなら新たな支えとなるため、残っている歯の寿命を縮めることはなくなることです。
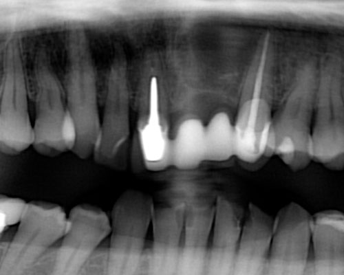
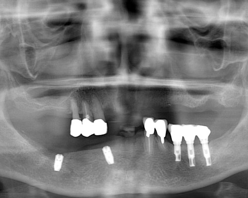
6割近くが歯を割って抜くことになっている
ここで確認しておきたいことがあります。当院で歯を抜く理由の2割が「虫歯」で、2割が「歯周病」です。残りの6割近い原因をご存知ですか?答えは、「破折」です。様々な理由で歯を割ってしまうのです。これは、意外と知られてないことです。そのため、歯に過剰な力がかかることに対する対策を全く考えていない方が多いのです。
力のコントロールをもっと考えるべき
言い換えれば、失った歯を補うときには、「虫歯リスク」や「歯周病リスク」にくらべ、全体の6割近いウェートで「力のコントロール」について考慮すべきなのです。(「力のコントロール」については別の記事で解説しますが、インプラントを入れる前、あるいは歯の治療をする前には必ず理解しておいて頂きたい内容ですので是非ご覧下さい。)
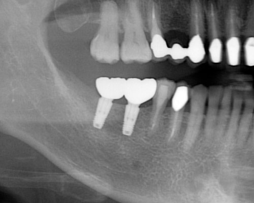
インプラントは完全ではない
インプラントを入れようかと迷われている時、歯周病に似たインプラント周囲炎を危惧され、「歳を取ってからダメになるのじゃないか」、「介護されるころになったら磨けない」などとおっしゃる方が多いのですが、そういった方は、インプラントがダメになることばかりを考え、他の歯が割れてダメになることを考えられていないのです。
例えば、心臓に問題を抱えペースメーカーを勧められる場合を考えてください。ペースメーカーは完全なものではありません。にも関わらず、インプラントのように完全ではないからダメだという発想にはならないのです。そして、多くの方がペースメーカーを入れています。それは、入れなければ命の危険にさらされるとわかっているから、背に腹はかえられぬということで止むを得ずいれているのです。
インプラントが不完全だからといって入れなければ、歯を失うリスクが高くなります。ペースメーカーと同じ理屈だと思うのですが、歯は何本もあるので危機感が薄いのではないのでしょうか。
割り切って考えて下さい
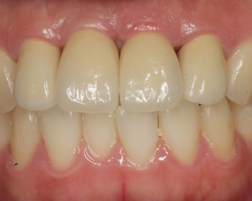
インプラントを入れるには割り切って考えることが必要です。インプラントは完全なものではありません。天然歯に比べて多くのリスクを抱えています。しかし、たとえ10年しかインプラントが保たなかったとしても、その10年間はインプラントが噛む力を負担して、他の歯にかかる力を軽減し、歯の寿命を延ばしてくれたと評価することができれば、インプラントを入れた意味は十分にあると思います。







