
虫歯治療
全てのトラブルにつながる
知覚過敏、歯周病、歯根破折、顎関節症、これらすべての原因は、歯ぎしりや食いしばりなどで歯に過剰な力がかかることだと言われています。しかし、歯ぎしりや食いしばりに対して、虫歯や歯周病に対するような予防意識を皆さんはほとんど持っていないと思います。
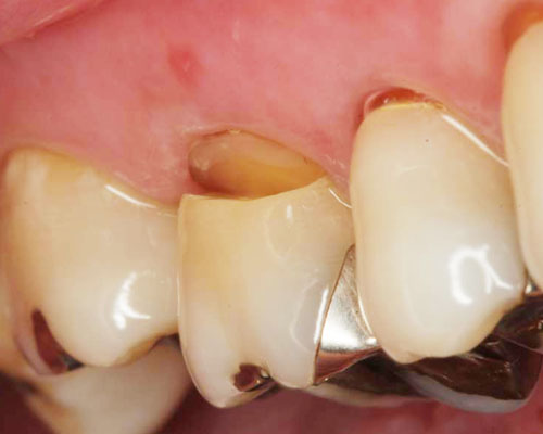
歯の根元が欠ける
大小いろいろありますが、どれも歯ぎしりなどの力によって歯の根元が欠けてしまったものです。見るからに知覚過敏が起きていそうですね。ここまで大きなものは珍しいですが、意外と患者さんは気づいていないことが多いのも興味深いところです。
骨の出っ張り
皆さんも鏡でお口の中を確認してみて下さい。舌の下に豆のような出っ張りが左右対称にありませんか?写真の右が正常、左が「外骨症」と呼ばれる骨隆起です。よく見かける症状で悪いものではありませんが・歯ぎしりや食いしばりが原因だと言われています。
歯ぎしりの原因
朝起きて顎が疲れているとか、知覚過敏がひどいといった症状があれば歯ぎしりをしています。主な要因は、ストレスや睡眠不足、逆流性食道炎などがあります。逆流性食道炎が原因というのは、食道に胃酸が上がってくる症状で、それを中和する唾液を大量に出すために強い力で噛んでいるという風に考えられています。
マウスピース
メカニズムは分かっていませんが、マウスピースをすると抑えられることが知られています。マウスピースといってもボクサーなどがする大きなものではなく、もっと薄くてコンパクトなものです。それでも違和感が強く装着して眠れない方もいらっしゃいますが、歯にダメージを与えるものでなく、簡単に作ることが出来ますので手軽な予防法としてはおすすめです。
睡眠のコントロール
歯ぎしりは睡眠が浅いときによく起きていることが知られています。質の高い睡眠を取ることによって、歯ぎしりする機会を減らすことも効果的です。最近は活量計と呼ばれる機能のついたスマートウォッチが沢山出ています。それを付けて寝ると睡眠の状態がグラフ表示されるものもありますので、睡眠の質を測るには効果的です。
歯列接触癖
(Tooth Contacting Habit)
1日で上下の歯が接触している時間はわずか20分程度しかありません。日常生活では、上下の歯は離れているのが正常ですが、頻繁に接触させている方がいます。これを歯列接触癖と呼んでいます。食いしばりのように強い接触でなくとも、軽い噛みしめも長時間続くとは影響を与えます。そして歯列接触癖と夜間の歯ぎしりには相関関係があることもわかっています。
意識を持つ
食いしばらないように意識することが大切です。まず、どんな場面で食いしばっているのか把握することから始めて下さい。仕事でパソコンをしているときや、考え事をしている時など意外と食いしばっている方が多いようです。そして、よく食いしばる場所や状況に、いつもと違う目印や張り紙などをして食いしばらないようにして下さい。
タイマーで予防
噛みしめをしている時は、大抵何かに集中している為、誰かに注意してもらわないとなかなか癖に気付きません。そこで、スマホのタイマー機能を使って気付くようにしてみて下さい。例えば1時間ごとにタイマー設定して、タイマーが鳴った時に噛みしめてないかどうかを確認するのです。これなら一人でも出来ますね。1日に何回でも試してみて下さい。