
虫歯治療
右側の歯が割れた
右側下(写真では左)にブリッジを入れていたのですが、歯が割れて抜いたとのことでした。左上にはのう胞といって膿の袋ができています。患者さんのご希望は、インプラントでした。年齢も50台ですので入れ歯は入れたくないとのことでした。
1本目のインプラント
右の一番奥は、抜いて間もなく骨が十分固まっていなかったために、インプラントを入れることができず、手前の1本だけインプラントを入れました。インプラント手術をした後は、その周囲でしばらく噛むことができません。
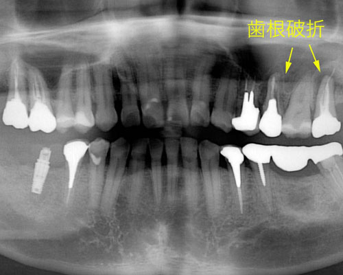
左側の歯が割れた
2ヶ月後、インプラントの上に仮歯を入れて1本分だけ噛めるようになりました。しかし、左上の歯が2本割れてしまいました。原因は、右側を治療中の数ヶ月間はほとんど左側で噛んでいた為、歯に過剰な力がかかり割れてしまったようです。
2本目のインプラント
右側に1本インプラントの仮歯が入ったので、代わりに左上を1本抜かせてもらい、右下に2本目のインプラントを入れました。この時点では、まだ左側を中心食事をされていたそうです。ちょっと一安心ですね。
3本目のインプランと左下のブリッジに問題発生
やっと右下にセラミックの歯が入りました。左上にも3本目のインプラントを入れ、もう1本の割れた歯を抜きました。しかし、レントゲンをよく見てみると左側を酷使していた為か、ブリッジの下に虫歯ができて怪しくなっています。
4・5本目のインプラントと左側の歯が割れた
ブリッジの作り直しは無理だったため、インプラントに替えました。左上の奥のインプラントは仮歯まで漕ぎ着けています。そして5本目のインプラントを入れています。ところが、またしても右下が割れました。もう、患者さんは悲鳴をあげています。
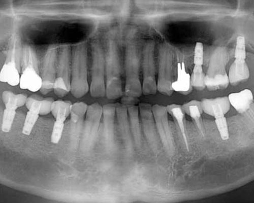
6本目のインプラント
そして、とうとう右下の3番目にインプラントを入れご覧のような状態に落ち着きました。しかし、私の診断では左側の上下2本に破折のリスクがあると説明していました。するとすぐに左下の奥から4番目が一部破折を認め作り直しとなりました。
左下トラブル
しばらく問題なかったのですが、前の写真から3年後、ブリッジの土台だった歯の被せ物が外れてきました。虫歯が深かった為被せ物を十分グリップできていなかったのです。そこで、今回は上の写真のようにワイヤーをかけてゴムで引っ張り出し、歯に十分なグリップをさせてセラミックを被せ直しました。
やっと落ち着きました
すると今度は、前回と同じようにブリッジの土台だった歯に被せたものが外れてきて作り直しをすることになりました。そして、これを治したらやっとトラブルがなくなりました。
トラブルに共通のもの
ここで振り返ってみましょう。最初に来院された時に失っていた右下に加え赤い部分が治療途中でどんどん壊れていった歯です。よく見て下さい。共通点があるのがお分かりいただけますか?そう、やり直した歯は全て神経を取った歯で、そのうち割れてしまったのは長い金属の心棒が入ったものです。