歯茎(歯ぐき)のトラブルの原因は? 歯茎(歯ぐき)のトラブルは歯周病だけではない 歯ぐきのトラブルとして「痛み」「腫れ」「出血」「排膿(うみが出ること)」「退縮(痩せること)」など様々ですが、多くの方が歯ぐきのトラブルはいわゆる歯周病が原因だと思われていますが、実は違います。では、それらをどのように見分けたら良いのでしょう?もちろん確定診断は歯医者にしてもらわないといけませんが、一つの目安として参考にして下さい。 歯に原因があるもの 歯ぐきの腫れや痛みの原因としては、プラークや歯石が原因となるもの、歯の神経が死んでしまったり根の治療がうまくいってないことが原因となるもの、根の破折や亀裂によるもの、萌出しかかっている永久歯や親知らずの周囲の傷や汚れが原因となっているものなどがよくあります。これらは、歯の内側や外側で細菌が繁殖して炎症を引き起こしています。そのため、炎症を抑えるためには歯の治療が必要となります。 歯が原因ではないもの 水膨れのような「粘液のう胞」、外傷による血豆、ヒリヒリする口内炎、ブラッシングによる引っかき傷、歯ぐきの表面が白くなる白板症や歯肉癌などは、歯に原因があるわけではないため、歯を治す必要はありません。 歯が原因となる歯ぐきのトラブル 歯周病 神経がダメになった 根の治療不良 歯の根に亀裂 歯の根が割れた 智歯周囲炎 腫れる場所 歯の根元 歯と歯ぐきの境界から1センチくらい離れた部位 歯と歯ぐきの境界から1センチくらい離れた部位 歯の根元から根の先のどこか 歯の根元から根の先にかけて 親知らずの周囲 出血 あり なし なし あり あり ほとんどない 痛み 数日痛みが続いた後自然によくなるが疲れた時に出やすい 激痛。ひどくなると舌で触っても痛い ほどんどない。 違和感がずっと続きよくなることはない 初めは痛むが数週間で痛みが消える 体調が優れない時に痛みが出る 特徴 日和見感染と言われ体調が落ちた時に症状が出る とにかく激しい痛みを伴うことが多いが、3割ほどは痛みが出ないと言われている 知らないうちに歯ぐきにニキビのようなものができている 歯ぐきの状態は歯周病に似ているが症状がずっと続くのが特徴 噛むと違和感がずっと残っている 日和見感染と言われ体調が落ちた時に症状が出る 歯が原因の歯茎(歯ぐき)のトラブルは症状が似ている 歯に原因がある歯ぐきのトラブルは「腫れ」「出血」「痛み」といった共通する症状があり、原因を見極めるのは我々歯科医師でも困難なことがあります。というのも、感染源となる部分が歯ぐきに覆われてていて直接見て確認することができないからなのです。最終的には、症状とポケット検査、レントゲン写真などから総合的に判断します。 歯周病の特徴 初期症状として、歯ぐきからの「出血」があります。歯磨きの時に歯磨き剤や歯ブラシが赤く染まっていて気づくことが多いようです。病状が進行すると、腫れや痛みが出てきます。歯ぐきの違和感として感じることもあります。ただ、汚れが原因の歯周病の場合、痛みや腫れが起きるのには波があり、症状が出ても2~3日で治ってしまうのが特徴です。レントゲンではアリ地獄のように斜めに骨が溶けていきます。 神経が死んでしまう時やその数日後 歯の中の神経が何らかの影響でダメになった時、歯ぐきが「腫れ」ます。ただ特徴的なのは「激痛」「痛くて噛めない」「歯を叩くと響く」といった症状です。症状が進むと夜も眠れないほどの痛みに襲われ、痛み止めもなかなか効きません。大きな虫歯や破折など明らかな原因を認めれば分かりやすいのですが、わかりづらい亀裂や根の中の神経の枝分れからの感染などが原因だと、レントゲンでも確認できないため、判断が難しいことが多々あります。 神経がダメになって時間が経っている 神経の入っている管で細菌が繁殖すると、歯の根の先端に炎症を引き起こし、骨の中で膿みの袋がゆっくり膨らみ、やがて骨の外側に膿を出します。見た目は歯と歯茎の境目から1センチあたりの歯ぐきがニキビのように腫れます。多くが「痛みがなく」「ずっと消えない」のが特徴で、スプーンの柄のような硬いもので叩くと他の歯と比べて違和感があります。レントゲンでは根の先端に丸い影を認めます。 歯の根に亀裂が入った 歯が割れたりヒビが入ったりすると歯ぐきが腫れます。症状は歯周病と似ているのですが、歯周病と異なり数日で改善する事はなくずっと歯ぐきの腫れた状態が続きます。そして、多くは噛むと違和感や痛みを感じます。時間が経つとレントゲンで歯の周囲に帯状に影ができますが、初期では正常像で確定診断することは非常に難しいケースです。 歯の根が割れた 歯の根が割れた場合、初期症状は亀裂が入った時と同じで、歯ぐきが腫れたり、噛むと痛いといった症状が出ますが、しばらくすると、あまり痛みを感じなくなります。歯の根が完全に割れてしまうと、割れ目に沿って骨はなくなりますが、膿みが出やすい状態となるため、むしろ痛みは軽くなります。歯が割れていることに気づかない方も多く、レントゲンを撮って初めて気付く方も多いのが特徴です。 歯が原因ではないもの 白板症 歯肉癌 粘液嚢胞 口内炎 静脈湖 血豆 腫れる場所 奥歯の歯茎や頬粘膜 歯ぐきや舌や頬 下唇や舌 歯ぐきよりも舌や頬、唇などに出来やすい 舌や頬粘膜 舌や頬粘膜 出血 なし なし なし なし なし なし 痛み なし 基本的にないが、末期に近づくと痛む激痛。 なし ずっと痛い。特に刺激のある食べ物などが触れると痛い なし なし 特徴 文字通り白く板状に広がる表面が若干硬い いろいろな携帯があるが、カリフラワーのような形をしている 白いタピオカのような丸い膨らみ 白く点状のビラン 内部の静脈が太くなって血の溜まり場となったもの いわゆる血豆
歯茎(歯ぐき)のトラブルは歯周病だけではない 歯ぐきのトラブルとして「痛み」「腫れ」「出血」「排膿(うみが出ること)」「退縮(痩せること)」など様々ですが、多くの方が歯ぐきのトラブルはいわゆる歯周病が原因だと思われていますが、実は違います。では、それらをどのように見分けたら良いのでしょう?もちろん確定診断は歯医者にしてもらわないといけませんが、一つの目安として参考にして下さい。
歯に原因があるもの 歯ぐきの腫れや痛みの原因としては、プラークや歯石が原因となるもの、歯の神経が死んでしまったり根の治療がうまくいってないことが原因となるもの、根の破折や亀裂によるもの、萌出しかかっている永久歯や親知らずの周囲の傷や汚れが原因となっているものなどがよくあります。これらは、歯の内側や外側で細菌が繁殖して炎症を引き起こしています。そのため、炎症を抑えるためには歯の治療が必要となります。
歯が原因ではないもの 水膨れのような「粘液のう胞」、外傷による血豆、ヒリヒリする口内炎、ブラッシングによる引っかき傷、歯ぐきの表面が白くなる白板症や歯肉癌などは、歯に原因があるわけではないため、歯を治す必要はありません。
歯が原因の歯茎(歯ぐき)のトラブルは症状が似ている 歯に原因がある歯ぐきのトラブルは「腫れ」「出血」「痛み」といった共通する症状があり、原因を見極めるのは我々歯科医師でも困難なことがあります。というのも、感染源となる部分が歯ぐきに覆われてていて直接見て確認することができないからなのです。最終的には、症状とポケット検査、レントゲン写真などから総合的に判断します。
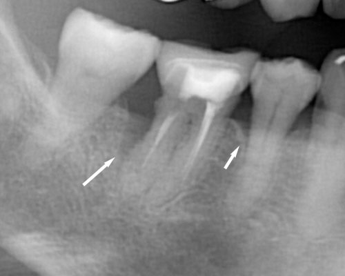
歯周病の特徴 初期症状として、歯ぐきからの「出血」があります。歯磨きの時に歯磨き剤や歯ブラシが赤く染まっていて気づくことが多いようです。病状が進行すると、腫れや痛みが出てきます。歯ぐきの違和感として感じることもあります。ただ、汚れが原因の歯周病の場合、痛みや腫れが起きるのには波があり、症状が出ても2~3日で治ってしまうのが特徴です。レントゲンではアリ地獄のように斜めに骨が溶けていきます。
神経が死んでしまう時やその数日後 歯の中の神経が何らかの影響でダメになった時、歯ぐきが「腫れ」ます。ただ特徴的なのは「激痛」「痛くて噛めない」「歯を叩くと響く」といった症状です。症状が進むと夜も眠れないほどの痛みに襲われ、痛み止めもなかなか効きません。大きな虫歯や破折など明らかな原因を認めれば分かりやすいのですが、わかりづらい亀裂や根の中の神経の枝分れからの感染などが原因だと、レントゲンでも確認できないため、判断が難しいことが多々あります。
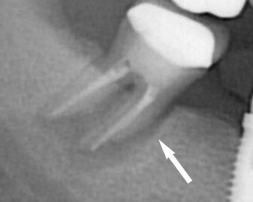
神経がダメになって時間が経っている 神経の入っている管で細菌が繁殖すると、歯の根の先端に炎症を引き起こし、骨の中で膿みの袋がゆっくり膨らみ、やがて骨の外側に膿を出します。見た目は歯と歯茎の境目から1センチあたりの歯ぐきがニキビのように腫れます。多くが「痛みがなく」「ずっと消えない」のが特徴で、スプーンの柄のような硬いもので叩くと他の歯と比べて違和感があります。レントゲンでは根の先端に丸い影を認めます。
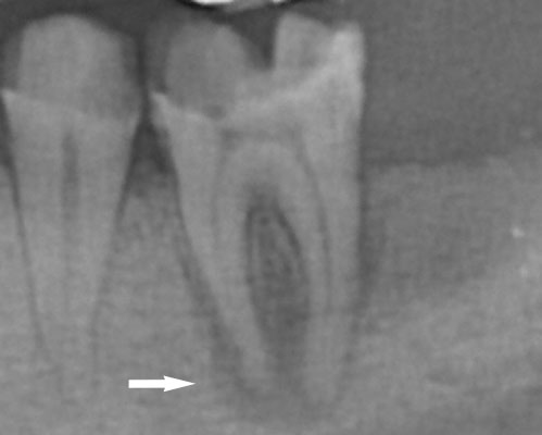
歯の根に亀裂が入った 歯が割れたりヒビが入ったりすると歯ぐきが腫れます。症状は歯周病と似ているのですが、歯周病と異なり数日で改善する事はなくずっと歯ぐきの腫れた状態が続きます。そして、多くは噛むと違和感や痛みを感じます。時間が経つとレントゲンで歯の周囲に帯状に影ができますが、初期では正常像で確定診断することは非常に難しいケースです。
歯の根が割れた 歯の根が割れた場合、初期症状は亀裂が入った時と同じで、歯ぐきが腫れたり、噛むと痛いといった症状が出ますが、しばらくすると、あまり痛みを感じなくなります。歯の根が完全に割れてしまうと、割れ目に沿って骨はなくなりますが、膿みが出やすい状態となるため、むしろ痛みは軽くなります。歯が割れていることに気づかない方も多く、レントゲンを撮って初めて気付く方も多いのが特徴です。