診療案内
初診の方は電話予約のみ受け付けております。
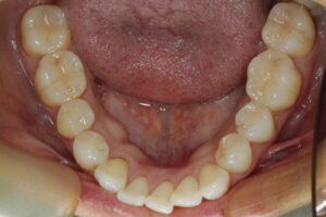
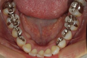
Before
After
1.患者様の主訴:銀歯を白くしたい
2.診断結果:
全て神経の残っている歯で、強い歯ぎしりなども認められないことから、ダイレクトボンディングを選択
3.治療内容:
ダイレクトボンディングにて治療
4.治療後経過:
15年近く経過しているが一度もトラブルなく経過良好
5.治療期間:6回
6.治療費用:
ダイレクトボンディング¥33,000×8本回=¥264,000
7.リスク・副作用:
ダイレクトボンディングの欠け、境界部の着色
カテゴリー
アーカイブ