根管治療の治癒

2026.02.10 根管治療

根管治療の治癒

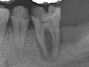
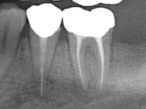
根の先に溜まった膿を根管治療で治した症例

 

症例1

Before

3ヶ月後

 

症例2

Before

3ヶ月後

 

1.患者様の主訴:噛むと痛い(2症例共通)

 

2.診断結果:根管治療の不備による根尖の炎症

 

3.治療内容:根管治療

 

4.治療後経過:痛みも治り、噛めるようになった

 

5.治療期間:・症例1 4回 ・症例2 2回

 

6.治療費用:保険診療+被せ物の費用

 

7.リスク・副作用:歯根破折

一覧へ
電車でお越しの方
田園都市線 用賀駅 徒歩2分
駐輪場
当ビル左側に駐輪スペースがございます。左側のスペースにお止め下さい。
駐車場
当院の駐車場はございません。お隣にコインパーキングがございますが、
当院との提携はございません。