診療案内
初診の方は電話予約のみ受け付けております。
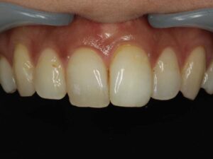
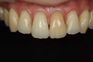
症例1
Before
After
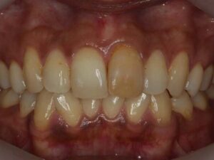
症例2
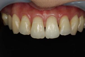
症例3
症例4
1.患者様の主訴:1本だけ歯の色が茶色くなっている
2.診断結果:神経を取ったために起こった変色
3.治療内容:内側から神経の合った空洞に薬を入れて漂白した
4.治療後経過:若干の色の後戻りはあるものの、良好な審美性を保っている
5.治療期間:根管治療後2〜4回
6.治療費用:ウォーキングブリーチ¥33,000
7.リスク・副作用:後戻り
カテゴリー
アーカイブ