診療案内
初診の方は電話予約のみ受け付けております。
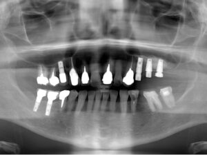
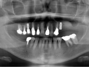
1.患者様の主訴:左上にインプラントを入れたい
2.診断結果:
左上の奥の骨の厚みが薄いため上顎洞を挙上する必要がある
3.治療内容:
上顎洞挙上術を行なって6ヶ月経過したのちにインプラントを入れた
4.治療後経過:
写真は治療前骨の厚みが1mm以下だったところ、上顎洞挙上術で1cm程度の骨の厚みになり、9mmのインプラントを入れた。その後半年待ってから上部構造を入れた。
5.治療期間:1年
6.治療費用:
CT診断¥22,000+上顎洞挙上術¥165,000+臼歯インプラント440,000×3本=¥1,507,000
7.リスク・副作用:上顎洞粘膜の穿孔、術後の脹れ
カテゴリー
アーカイブ