テトラサイクリン

2026.02.10 ホワイトニング

テトラサイクリン

テトラサイクリンに(抗生剤)による変色歯をホームホワイトニングでキレイにした症例

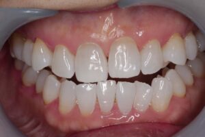
スタート

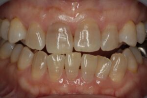
12ヶ月後

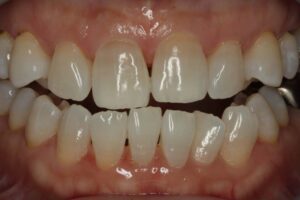
18ヶ月後

1.患者様の主訴:変色歯をキレイにしたい

 

2.診断結果:テトラサイクリンによる変色歯

 

3.治療内容:長期間のホームホワイトニング

 

4.治療後経過:

1年で一応満足な白さに達したが、患者さんの希望でさらに6ヶ月追加、その後10年近く経過するも、後戻りが気になった時に1週間ほどタッチアップをして今も白さを保っている

 

5.治療期間:1.5年

 

6.治療費用:

ホワイトニング基本¥55,000(6ヶ月間)+追加の薬剤(1ヶ月¥1,650×5回)×12ヶ月=¥154,000

 

7.リスク・副作用:後戻り

一覧へ
電車でお越しの方
田園都市線 用賀駅 徒歩2分
駐輪場
当ビル左側に駐輪スペースがございます。左側のスペースにお止め下さい。
駐車場
当院の駐車場はございません。お隣にコインパーキングがございますが、
当院との提携はございません。