診療案内
初診の方は電話予約のみ受け付けております。
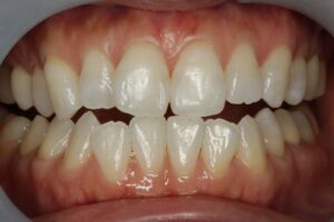
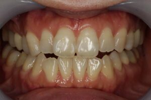
症例1
Before
After
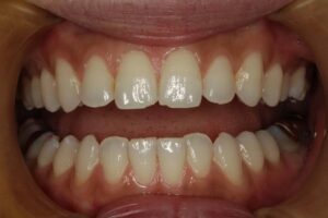
症例2
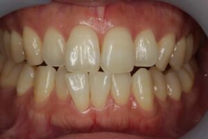
症例3
症例4
症例5
症例6
症例7
症例8
1.患者様の主訴:歯を白くしたい
2.診断結果:虫歯治療が必要でなく、ホワイトニングのみで白くなると思われた症例
3.治療内容:ホームホワイトニングを希望の色まで行い、6ヶ月以内で終了した。
4.治療後経過:6ヶ月以内に希望の色に到達した
5.治療期間:3カ月〜6ヶ月
6.治療費用:基本ホワイトニング料金¥55,000(6ヶ月以内)
7.リスク・副作用:色の後戻り
カテゴリー
アーカイブ