診療案内
初診の方は電話予約のみ受け付けております。
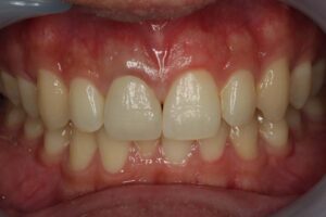
Before
After
1.患者様の主訴:前歯の根元の色が気になる
2.診断結果:
元々すきっ歯だったところに、メタルをベースとしたセラミックを入れたため、経年変化で歯の根元の金属が見えてきて見苦しくなってしまったと思われる
3.治療内容:
右側のセラミックをオールセラミックで修復し、左側の天然歯の隣接部に歯を削ることなくダイレクトボンディンを築造して、歯の幅を増やして、真ん中の2本の葉の幅を揃えてバランスを整えた
4.治療後経過:
治療後数年経過しているがトラブルなく経過良好
5.治療期間:4回
6.治療費用:
右前歯オールセラミック¥143,000+左前歯ダイレクトボンディング33.000=¥176,000
7.リスク・副作用:
歯肉退縮、ダイレクトボンディングの境界部の着色
カテゴリー
アーカイブ