診療案内
初診の方は電話予約のみ受け付けております。
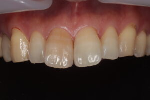
Before
After
12年後
1.患者様の主訴:すきっ歯が気になる
2.診断結果:
虫歯はなくキレイな状態の歯だが、すきっ歯になっている
3.治療内容:
歯を削る事なくダイレクトボンディングで真ん中の隙間を埋める
4.治療後経過:
12年後もほとんど変わっていない
5.治療期間:1回
6.治療費用:
ダイレクトボンディング¥33,000×2回=¥66,000
7.リスク・副作用:辺縁部の着色
カテゴリー
アーカイブ