診療案内
初診の方は電話予約のみ受け付けております。
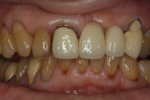
術前
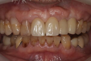
術後
1.患者様の主訴:前歯のブリッジ(2本欠損)に違和感がある
2.診断結果:
ブリッジを支えている歯が割れていた。歯ぎしりや噛みしめの強い方で、奥歯も4本歯が割れた履歴があることから、ブリッジで修復することのリスクが高く、インプラントを選択
3.治療内容:
はじめにブリッジの欠損部に2本インプラントを入れ、仮歯にした状態でブリッジの支台歯を抜歯して待機したのちにインプラントを入れた。
4.治療後経過:
前歯の仮歯をある程度使える必要があったため、一気に4本入れる事ができず、2回に分けてインプラントの手術を行なったため、通常よりも長い治療期間を要した。ただ、ほとんど仮歯が外れることはなかったため、機能的にも審美的にも日常生活に支障をきたすことは無かった。
5.治療期間:
2年(欠損部のインプラント2本に5ヶ月、ブリッジの支台歯の抜歯後の待機に4ヶ月、同部位へのインプラント2本5ヶ月、その他の治療)
6.治療費用:
CT¥22,000×2回+サージカルガイド¥77,000×2回+前歯インプラント¥440,000×4本=¥1,958,000
7.リスク・副作用:インプラント周囲炎
カテゴリー
アーカイブ