診療案内
初診の方は電話予約のみ受け付けております。
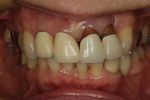
Before
After
1.患者様の主訴:前歯が見苦しいのを治してほしい
2.診断結果:歯周病による歯根露出
3.治療内容:
大掛かりな歯肉移植は希望され無かったため、歯周病治療とオールセラミックのやり直し
4.治療後経過:
真ん中の2本の歯の形態をできる限り左右対称にすることでバランスを整える事ができた
5.治療期間:5カ月
6.治療費用:
歯周病治療(保険診療)+オールセラミック¥143,000×4回=¥572,000
7.リスク・副作用:歯肉退縮
カテゴリー
アーカイブ