適合不良のセラミックを再治療した症例

2026.02.10 前歯審美修復

適合不良のセラミックを再治療した症例

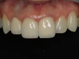
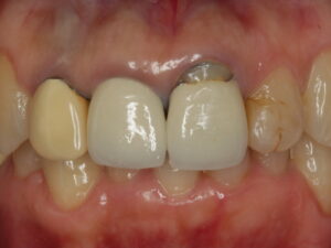
治療前

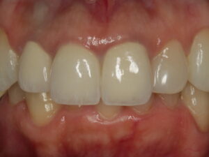
仮歯

 

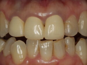
完成

 

1.患者様の主訴:前歯の見た目が気になる

 

2.診断結果:適合不良の修復によって歯茎が持ち上がってしまっている

 

3.治療内容:

セラミックを外して、歯肉の状態を仮歯で整え、オールセラミックで修復した

 

4.治療後経過:

歯茎の炎症が治り、歯の形態が左右対称になり審美性が回復した

 

5.治療期間:4カ月

 

6.治療費用:

オールセラミック¥143,000×3本+ダイレクトボンディング¥33,000=¥462,000

 

7.リスク・副作用:歯肉退縮

一覧へ
電車でお越しの方
田園都市線 用賀駅 徒歩2分
駐輪場
当ビル左側に駐輪スペースがございます。左側のスペースにお止め下さい。
駐車場
当院の駐車場はございません。お隣にコインパーキングがございますが、
当院との提携はございません。