骨造成インプラント

2026.02.10 インプラント

骨造成インプラント

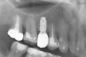
骨のない部分を骨造成し、インプラントを入れた症例

 

治療前

6ヶ月前

1年前

 

1.患者様の主訴:歯を抜いたところにインプラントを入れたい

 

2.診断結果:

著しく骨が吸収されていたため、そのままインプラントを入れることはできない

 

3.治療内容:

人工骨を使った骨造成術を行い骨が再生するのを半年程待ち、インプラントを入れた

 

4.治療後経過:

骨造成術、インプラント手術ともに術後の痛みや腫れもなく順調に経過し、治療後のレントゲン画像でも十分な骨の再生が認められる。

 

5.治療期間:1年

 

6.治療費用:

骨造成術¥55,000+インプラント¥436,700=¥491,700

 

7.リスク・副作用:インプラント周囲炎

一覧へ
電車でお越しの方
田園都市線 用賀駅 徒歩2分
駐輪場
当ビル左側に駐輪スペースがございます。左側のスペースにお止め下さい。
駐車場
当院の駐車場はございません。お隣にコインパーキングがございますが、
当院との提携はございません。