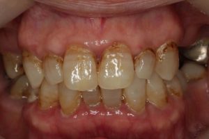
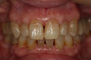
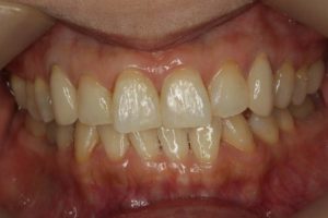
通院することが楽しみでした。

M.N.様 女性 48歳 ご職業 主婦
Q1.治療の痛みについての印象はいかがでしたか?
痛みを感じたことはほとんどありませんでした。
Q2.最終的な仕上がりについての満足度はいかがでしたか?
とても満足しています。見た目にも初診の時と比べものにならないほどで、こちらで治療していただいて本当に良かったと思っております。ありがとうございます。
Q3.治療のご感想
治療期間にするとおよそ一年半でしたが、毎回きれいに仕上げていただいたことで通院することが楽しみでした。こちらのクリニックができたころから前は通っていて気になっていたのですが、なかなか最初の一歩を踏み入れるまで時間がかかったことは少々後悔もしたりしましたが、最終的にすべての歯の治療をしていただいて感謝の一言に尽きます。ありがとうございました。今後共よろしくお願い致します。
院長のコメント
通院お疲れ様でした。「通院することが楽しみでした。」というお答えは治す側にはとてもありがたいお言葉です。
歯の治療というと、どうしても「マイナス」のイメージがあるのですが、歯にコンプレックスを持っている人にとって、歯がきれいになっていくことは「楽しみ」に変わるのです。
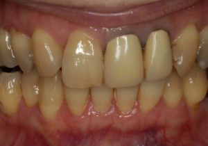
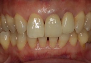
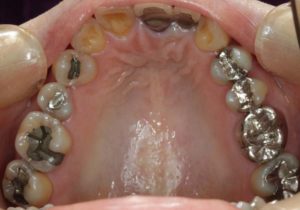
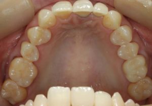
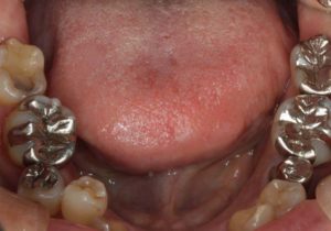
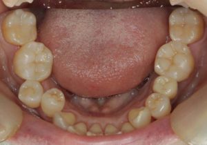
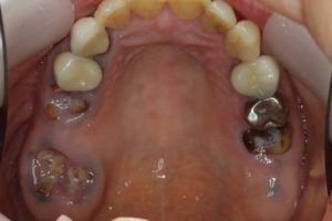
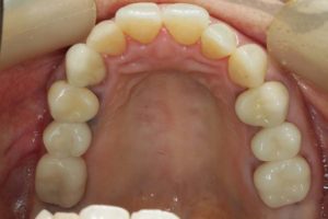
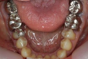
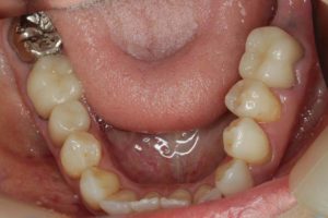
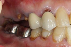
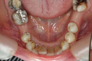
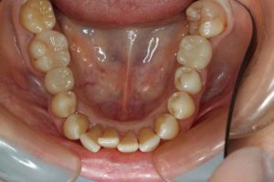
どのように変わったか、下の写真をご覧ください。
やっぱり白い歯よいですね。世田谷区 40歳 女性

匿名希望 世田谷区 女性 40歳 ご職業 主婦
Q1.治療の痛みについての印象はいかがでしたか?
ますいをしっかりしてくれるので全く治療は痛くありませんでした。
Q2.最終的な仕上がりについての満足度はいかがでしたか?
銀歯が多かったのですべて昔の銀歯の下もちりょうしながらセラミックにかえることができてとても満足しています。やっぱり白い歯よいですね。
Q3.治療のご感想
きれいにしてもらった歯をこれからも大切にしていこうと思います。
Q4.これから始める方へのメッセージをお願いいたします
すごく親身になって治療してくれるとてもよい歯医者さんだと思うのでぜひぜひオススメです。
院長のコメント
治療お疲れ様でした。たくさん銀歯が入っていたのですが、最後には真っ白になりましたね。銀歯をやり直す材料にはセラミックとプラスティックがあるのですが、基本的にできるだけプラスティックで治すようにしています。この患者さんも、可能な限りプラスティックで治し、どうしても無理なところだけセラミックにしました。そのため歯を削る量が少ないことに加え、費用もかなり抑えることができます。たくさん治しましたが、全部セラミックで治さなければならないとなっていたら、もっともっと時間も費用もかかっていたかもしれません。当院では、初診時に治療方針や期間や費用などを1時間ほどかけて詳しく説明していますので、患者さんには治療内容について十分納得していただいていると考えています。「親身になって治療してくれる」とおっしゃっていただいたことは、そういったところを評価して頂いたのではいかと思っております。
痛みは殆んどなく楽に治療していただきました 上用賀 67歳 女性
N.N.様 上用賀 女性 67歳 ご職業 ナシ
Q1.治療の痛みについての印象はいかがでしたか?
殆んどなく楽に治療していただきました。
Q2.最終的な仕上がりについての満足度はいかがでしたか?
大変満足しています。
Q3.治療のご感想
セラミックにしていただきよかったです。
安心して歳をとってからも過ごせます。
院長のコメント
金歯が入っていたのですが、適合が甘く歯周病を引き起こしていましたので、綺麗にやり直しました。セラミックは当然費用かかるのですが、皆さんとても喜んでいただいています。時には宝石を手に入れるのより嬉しいとおっしゃる方もいらっしゃいます。やはり、歯は白くなくてはいけません。
治療を進めていく内に生活が大変豊かになっていくのを感じました 用賀 女性 54歳 主婦・パート
N.S.様 用賀 女性 54歳 ご職業 主婦・パート
Q1.治療の痛みについての印象はいかがでしたか?
インプラント手術当日の痛みはほとんどありませんでした。
次の日は(麻すいがきれたころ)ズキズキして痛みがありましたが、その後は痛むこともありませんでした。
Q2.最終的な仕上がりについての満足度はいかがでしたか?
とても満足しています。
Q3.治療のご感想
歯の治療には時間もお金もかかりますが、治療を進めていく内に生活が大変豊かになっていくのを感じました。虫歯にならないように心がけるのが一番ですが、平野先生に治療していただいてとても感謝しています。
院長のコメント
長い間お疲れ様でした。この患者さんは、奥歯を何本も失っていて満足なお食事ができない状態でした。前歯も所々虫歯で黒ずんでいて気になって口を開けて笑えないとおっしゃっていました。そもそも、最初はお嬢様の結婚の前までに綺麗にしたいというものだったのですが、治療をしていくうちに奥歯の大切さを実感していただいたようです。
さて、この方は奥歯にインプラントを入れたのですが、あまり骨がなく普通の手術ではインプラント入れらません。そのため、インプラント手術だけならほとんど痛みはないのですが、上顎洞挙上術という難易度の高い手術を併用したため、手術後に痛みや腫れが若干出たようです。
奥歯にインプラントを入れ、前歯はホワイトニングやダイレクトボンディング、セラミックなどで修復しました。
100%オマカセでOK。練馬区石神井 男性 66歳
匿名希望 練馬区石神井 男性 66歳 ご職業 建設業
Q1.治療の痛みについての印象はいかがでしたか?
特に無し
Q2.最終的な仕上がりについての満足度はいかがでしたか?
最高です。
Q3.治療のご感想
優しく治療して頂きました。
Q4.これから始める方へのメッセージをお願いいたします
100%オマカセでOK。
院長のコメント
アンケートのご協力いただきありがとうございました。アンケートの文面からお人柄がにじみ出てくるようですね。
さて、この方の治療内容はと申しますと、お嬢様の結婚式に間に合うように総入れ歯を作って欲しいと言うことでした。入れ歯を作るのには実は結構な期間が必要なのですが、意外にみなさん簡単にできると思われている方が多いようです。
易しい症例であれば1ヶ月、難しい症例であれば終了まで3ヶ月ほどかかります。もちろんこれは入れ歯の製作だけでなく調整期間も入れた話です。
今回のケースは中等度の難易度です。その訳は、今まで何十年も使っていた入れ歯がとても小さく、それを上手に舌で操りながら使っていたからです。古い入れ歯に使い慣れてしまっていると新しい入れ歯に適応するにはそれなりに時間掛かります。
幸い今回はわずかな調整で終えることができ、無事お嬢様の結婚式にも間にあい美味しくお食事ができ、お話にも不自由しなかったそうです。
入れ歯はとても難しい治療で、高い専門性が要求されます。入れ歯でお悩みの方はお気軽にご相談ください。
先生は、とてもていねいに説明してくださるので、安心でした。新町 女性 52歳 自営業

匿名希望 新町 女性 52歳 ご職業 自営業
Q1.治療の痛みについての印象はいかがでしたか?
特に痛みはなく、術後も問題ありません。
Q2.最終的な仕上がりについての満足度はいかがでしたか?
ずっと気にしていた前歯も治り、虫歯も完治して良かったです。
Q3.治療のご感想
先生は、とてもていねいに説明してくださるので、安心でした。
院長のコメント
全顎的な治療を行いました。1本インプラントも入れなければならなかったのですが、骨がなく上顎洞挙上術という比較的難易度の高い手術を行いました。このような処置の場合、偶発症をよく理解していないと、トラブルが生じた時に患者さんが不安になってしまいます。
実は、今回もインプラントの手術後に思いがけない偶発症があったのですが、手術前の説明で大きなトラブルにはならないことを説明していたため、それほど不安になることはなかったそうです。
とはいうものの、私が説明していなかった偶発症であったため、さぞや患者さんはびっくりされたことかと思いましたが、パニックになるようなことはなく冷静に経過を見守っていただき、私てしてもホッと胸を撫で下ろした次第です。
説明は、本当に大切だなとつくづく感じました。
とてもていねいに治療していただけて感謝しています。世田谷区 女性 29歳 アルバイト

匿名希望 世田谷区 女性 29歳 ご職業 アルバイト
Q1.治療の痛みについての印象はいかがでしたか?
Q2.最終的な仕上がりについての満足度はいかがでしたか?
とても満足しています。銀歯にしたくなくて悩んでいたのでとても良かったです。
Q3.治療のご感想
とてもていねいに治療していただけて感謝しています。
院長のコメント
虫歯の治療を受けようと歯医者に行っても、保険だと銀歯になる、かといってセラミックだと高額になる。これに比べて、プラスティック(セラミック粒子を含んだもの)だと、1本2万円程できれいに治ってしまう。しかもそれが歯に最もダメージを与えずベストな治療だとしたら。
とてもたくさんやり直すところがあって、何回も通ってもらいましたが、すっかりきれいになりご満足頂けたようです。
インプラントをいれて美味しく食べられるようになりました 区内瀬田 女性 72歳 主婦
匿名希望 区内瀬田 女性 72歳 ご職業 主婦
Q1.治療の痛みについての印象はいかがでしたか?
思ったほど違和感がありませんでした。
Q2.最終的な仕上がりについての満足度はいかがでしたか?
とても楽しく治療していただき満足です。
Q3.治療のご感想
すばらしい。先生はじめスタッフの方々に感謝です。
Q4.これから始める方へのメッセージをお願いいたします
信頼をもっておまかせ下さい。
院長のコメント
治療お疲れさまでした。たくさん歯を失っていたにもかかわらず、テンポよく治療が進み、終わってみれば半年近くですべて終わりました。
初めは入れ歯かインプラントか迷われていたようですが、骨の状態がよくインプラントの適応症であることをご説明すると、何より自分の歯のように食事ができることを期待されて、インプラントを選択したそうです。
審美的にも機能的にも回復し、表情もずいぶん若返りました。
最後には、目を潤わせながら治療して良かったとおっしゃって頂いた時には、私としても歯医者冥利に尽きる瞬間でした。
これからメインテナンスになります。トラブルが起きないよう、注意深く観察して行く予定です。
やっときれいな歯になりうれしいです 宮崎台 女性 36歳 会社員
匿名希望 宮崎台 女性 36歳 ご職業 会社員
Q1.治療の痛みについての印象はいかがでしたか?
特に痛みはありませんでした。
Q2.最終的な仕上がりについての満足度はいかがでしたか?
審美的に満足しています。すっきりしました。
Q3.治療のご感想
やっときれいな歯になりうれしいです。ありがとうございました。
院長のコメント
1年間お疲れさまでした。全部で20本くらい治しました。ほんとうに「やっときれいになりました」ね。
インプラントをしてよかったです 世田谷区 女性 56歳 公務員
M.I.様 世田谷区 女性 56歳 ご職業 公務員
Q1.治療の痛みについての印象はいかがでしたか?
特別痛みはありませんでした。痛み止めを飲むことはありませんでした。
Q2.最終的な仕上がりについての満足度はいかがでしたか?
満足です。インプラントをしてよかったです。
Q3.治療のご感想
「治療が必要」と自分で思っていた歯意外に、状態が悪化している歯が複数あると知り驚きました。今回来院して良かったです。全部治療していただき安心しました。これからも長くお付き合いくださいますよう、お願い致します。
Q4.これから始める方へのメッセージをお願いいたします
定期的にチェックをしていただくことが大切と思います。先生や他のスタッフのみなさんが、親切で良心的です。信頼できる病院です。私も友人から紹介されて来院しましたが、他の方に自信を持って紹介できる病院です。
院長のコメント
「インプラントをしてよかったです」というお言葉を頂きホッとしました。実は、私にとって初めての感染によるインプラントの失敗をした患者さんだったのです。原因ははっきりとしていませんが、おそらく歯を抜いた時に病巣が塊となって骨の中に残っていたのではないかと思われます。
抜歯は他院で行われており、予測不可能ではあったのですが、患者さんにはご負担をおかけしました。幸いリカバーに成功し、最終的には奇麗に入っていますが、インプラントをしなければよかったと思われているのではないかと危惧していました。
インプラントはとても素晴らしい治療法なのですが、必ずしも上手くいくとは限らず、時には再手術を行うこともあります。ただ、今のところリカバーできなかったケースはありません。
どんな治療もリスクがつきものですが、問題は術前にそれをご理解頂いていることではないかと思います。この患者さんも術前に起こりうるリスクに付いてはすべて説明していましたので、信頼関係に崩れることはなく、治療を終えることができました。
先生のこだわり職人技に関心いたしました。中央区 女性 33歳 会社員
E.H.様 中央区 女性 33歳 ご職業 会社員
Q1.治療の痛みについての印象はいかがでしたか?
麻酔が適度に効くので激しい痛みはありませんでした。
虫歯が深い箇所も丁寧に掘り進めてていただいていることがわかりました。
Q2.最終的な仕上がりについての満足度はいかがでしたか?
先生のこだわり職人技に関心いたしました。
本当にありがとうございます。
Q3.治療のご感想
助手の方の水を吸うホースの入れ方がとても違和感なく上手だなと思いました。
今まで必ず痛い思いをしていましたので素ばらしい心配りです。
院長のコメント
お褒めのお言葉有難うございます。歯科治療はすべて外科処置ですから、職人といっても過言ではありません。特に虫歯を削るのはとても気を使います。大きい虫歯になると虫歯を削るだけで20分くらいかかってしまいます。しっかり虫歯を取りきらないとあっという間に虫歯が再発してしまいますので、とても重要な作業です。
また、衛生士のバキュームをほめて頂いたのはとてもうれしいく思います。より快適に治療を行えるようスタッフ一同一層の心配りをしていきたいと思います。
全体的にとても白くなり、とても満足しています 品川区 女性 29歳 会社員
E.A.様 品川区 女性 29歳 ご職業 会社員
Q1.治療の痛みについての印象はいかがでしたか?
特に痛みを感じることはなかったです。麻酔をして頂けて治療してもらえるので痛みを感じませんでした。
Q2.最終的な仕上がりについての満足度はいかがでしたか?
全体的にとても白くなり、とても満足しています。
ありがとうございました。
Q3.治療のご感想
1年近く通院したのですが、あっという間に終わりました。職場に外国人が多いので歯ならや白さに関心があったのと、虫歯が多いので治療はじめました。とても満足しています。ありがとうございました。
院長のコメント
患者さんのコメントにありますように、たくさん虫歯(20本以上)がありました。それでも、神経の残っている歯がほとんどだったため、1回の治療で確実に1本以上進めていくことができ、結果としてあっという間に終わったと感じられたのではないかと思います。
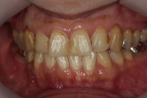
説明がわかりやすく安心して治療を受けました 用賀 女性 46歳 主婦

匿名 用賀 女性 46歳 ご職業 主婦
Q1.治療の痛みについての印象はいかがでしたか?
Q2.最終的な仕上がりについての満足度はいかがでしたか?
非常に満足です。
Q3.治療のご感想
先生の説明がわかりやすく安心して治療を受けました。
治療がとても早く、しかも治した後の違和感が全くありません。
院長のコメント
長い期間の治療お疲れさまでした。一見なんの問題もないように見受けられましたが、銀歯を外してみるとどれもこれも重傷と言えるような状態でした。結局過去に治した歯をすべてやり直しすることになり、1年近くかかってしまいました。それでも、患者さんから「治療がとても早く」とおっしゃって頂いたのは嬉しい限りです。
というのも当院ではできるだけ早く治療を終えられるように、効率的な治療計画を心がけています。それでも歯の治療には本来時間がかかるものですから、患者さんからするとなかなか終わらないと感じる方が多く、早く終わったと感じて頂ける方は少ないのではないかと考えているだけに、こうしたコメントを頂けるのは嬉しいものです。
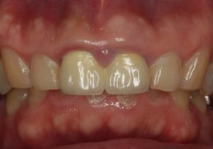
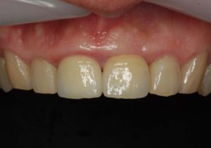
約1年程の治療期間でしたので、もう少し短縮できると良いのですが。 上用賀 男性 60歳 会社員
匿名希望 上用賀 男性 60歳 ご職業 会社員
Q1.治療の痛みについての印象はいかがでしたか?
旨く治療頂いた。
Q2.最終的な仕上がりについての満足度はいかがでしたか?
全く問題なく満足です。
Q3.治療のご感想
約1年程の治療期間でしたので、もう少し短縮できると良いのですが。ていねいに治療頂き有難うございました。
院長のコメント
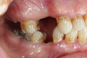
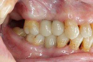
長い間お疲れさまでした。この方は、前歯に審美的なインプラントを入れるため、抜歯後4ヶ月待ち、仮歯で歯肉が成熟するのを数が月待っていたりした為に、完成まで時間がかかってしまいました。
虫歯治療などは短期間で終えることができるのですが、歯ぐきをいじり出すとどうしても治癒期間が必要となり長くなってしまいます。それもこれも奇麗な仕上がりのために欠くことのできないものです。何卒ご容赦を!
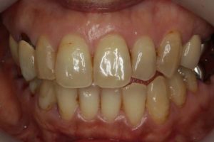
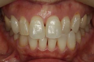
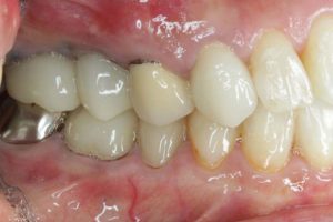
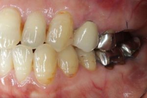
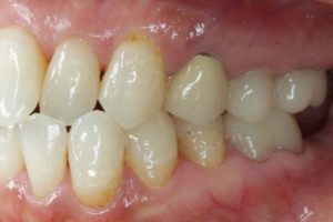
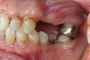
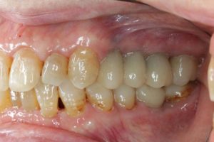
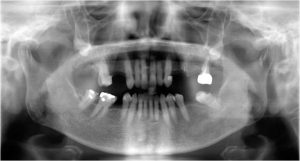
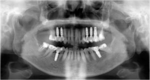
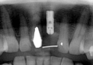
- 術前
- 術後
- インプラント手術直後のレントゲン
時によっては眠ってしまうほどの快適な治療です 世田谷区 女性 49歳 主婦

M.N.様 世田谷区 女性 49歳 ご職業 主婦
Q1.治療の痛みについての印象はいかがでしたか? 全く痛みはありませんでした。通常の治療より時間もかからずあっけなくおわりました。
Q2.最終的な仕上がりについての満足度はいかがでしたか? 大満足です。見た目はもちろん、お食事のことでも快適です。
Q3.治療のご感想 インプラントに対して「痛い」イメージしかなかったので、なかなか決断できませんでしたが、本当にやって良かったと思います。術中はもちろん術後も痛みはありませんでした。
Q4.これから始める方へのメッセージをお願いいたします 歯医者嫌いで歯の中が銀歯だらけでとても嫌でいながら、なかなか治療にふみきれませんでしたが、こちらは痛みがないどころが、時によっては眠ってしまうほどの快適な治療です。とてもきれいで、静かに流れる音楽にもとてもいやされました。おかげさまですべての歯がとてもきれいになり感謝しています。
院長のコメント 1年間お疲れさまでした。たくさん治療しましたが、「あっけなくおわりました。」とおっしゃって頂きありがとうございました。当院ではお一人1時間でお約束をお取りしていますので、20分や30分で細かく分けて治療するのに比べ、無駄がなく効率よく進みます。 さらに、治療用の椅子は1台(メインテナンス用の椅子がもう1台)しか置いていませんので、私はお一人の治療に1時間集中できますから、なおさら治療は進みます。 ただ、決して急いでいる訳ではなく、じっくり治療をしているのですが、一つ一つ確実にステップを踏むとミスが少なくなり、その結果治療も早く進んでいくのです。 さて、この患者さんは、ブリッジをやり直す時にそのままブリッジにするかインプラントにするかとても迷われていたのですが、最終的にはインプラントを選択されました。アンケートにもありますように、皆さんが考えている程インプラント治療は痛みを伴うものではありません。今回のケースでも、全く痛みはなく痛み止めを飲むこともなかったそうです。
最後に、術前・術後のお写真をご紹介します。
安心して治療を受けられました 桜新町 女性 72歳

匿名 桜新町 女性 72歳
Q1.治療の痛みについての印象はいかがでしたか?
特別な痛みはありませんでした。
Q2.最終的な仕上がりについての満足度はいかがでしたか?
とても満足しています。
Q3.治療のご感想
初めのころは少し不安でしたがだんだんと不安感はなくなりました。安心して治療を受けられました。
院長のコメント
治療お疲れさまでした。虫歯治療の他にインプラントも2本入れましたが、不安そうなそぶりは一切なかったので、不安があったとお答え頂いて少しビックリしました。
歯の治療はどなたも怖いものです。私の友人に怖いもの知らずの男がいるのですが、彼が最初に歯の治療に来たときは真っ青な顔してました。前の日からずっと緊張していたといっていました。
不安や恐怖は未知のことに起こりやすいものです。予め先が分かっていれば不安はありません。例えば、部屋をよく見回してから明かりを消して真っ暗にしても怖くないのですが、真っ暗な部屋に連れて行かれれば恐怖を感じるのと同じです。
皆様の不安や緊張を出来るだけ少なくするよう、日々向上に努めたいと思います。
機能的にも審美的にも満足できました。川崎市 女性 49歳 主婦
匿名希望 川崎市 女性 49歳 ご職業 主婦
Q1.治療の痛みについての印象はいかがでしたか?
痛みがある歯については、麻酔をしてからの治療だったので大丈夫でした。
麻酔の注射も痛くなかったので安心できました。
Q2.最終的な仕上がりについての満足度はいかがでしたか?
先生が私が気にしている歯の長さや形を満足できる形にして下さったので機能的にも審美的にも満足できました。
Q3.治療のご感想
前歯4本のやりなおしだったのですが、他の歯科では前歯6本をブリッジにする方法をすすめられたり、連結する方法でしたが、こちらでは4本の歯を連結することなく治療していただいて、両隣の歯もプラスティックのつめなおしと漂白で自分の歯を生かして、キレイに治療してもらえたので、見た目だけでなく機能的にもとても良い状態になりました。
毎回治療の時に仮歯をはずすのげハンマー?みたいなものでたたくのがこわかったです。
Q4.これから始める方へのメッセージをお願いいたします
治療は大変でしたが先生が一生懸命治療してくださってたので最後まで通うことができました。半年前とは口もとが全然違ってきれいになおったので自信を持って笑うことができ本当に思い切って治療して良かったと思っています。
院長のコメント
長い治療お疲れさまでした。笑顔に自信を取り戻してもらうことができて私もうれしい限りです。
歯科には、「アート and サイエンス」という言葉があります。
病いや機能の回復(サイエンス)はもとより、審美性、社会性の回復(アート)も重要だと説いています。サイエンスの部分は当然患者さんの希望に関係なく、治療のルールといった意味合いで行うものですが、アートは患者さんの希望が大部分を占めてきます。
私たち歯科医は、患者さんの希望を最大限取り入れながら、機能の回復を行うことが使命です。機能的にも審美的にも満足して頂けたというお言葉をいただき、私もとてもうれしく思います。
リラクゼーションスペースに通う感覚で治療というより精神安定剤みたいでした 玉川台 女性 57歳 演奏・指導者
E.Y.様 玉川台 女性 57歳 ご職業 演奏・指導者
Q1.治療の痛みについての印象はいかがでしたか?
痛みもいやな感覚、違和感全くなかったです。
歯科に通っている意識がなかったです。
Q2.最終的な仕上がりについての満足度はいかがでしたか?
満足度 100%・120%
Q3.治療のご感想
リラクゼーションスペースに通う感覚で治療というより精神安定剤みたいでした。
歯磨き指導もわかりやすく日常的に面倒ではない磨き方指導。
BGM スピーカーの音やセンスも気持ちよかったです。
Q4.これから始める方へのメッセージをお願いいたします
以前のような違和感の残る治療ではないのでおすすめ出来ます。
1度で1本が終了するのもありがたい。
仮り歯とか、型とりとか思うと足が向かないけど1度ですむなら・・・!!
院長のコメント
「歯科医院に通っている意識がなかった。」というのはとてもうれしいお言葉です。当院は、出来るだけ歯科医院をイメージさせるものを排除して設計しました。
それには、皆さんの五感に自然に訴えかけるものでなければならないと考え、「光・音・空気」に気を使い、歯科医院ではないものを作り上げたつもりです。それを音楽関係者の方からこのように評価して頂いたのは私にとってはとてもうれしいことです。
患者さんがリラックスしていると、私も治療に専念出来、相乗効果によりスムーズで良い治療が出来るようになりますね。
ホワイトニングとベニアで長年気になっていた前歯を奇麗にしました 用賀 女性 48歳 主婦

Y.K.様 用賀 女性 48歳 ご職業 主婦
Q1.治療の痛みについての印象はいかがでしたか?
途中 ズキズキ ジンジン とした痛みが続き心配でしたがしばらくして落ち着きました。
Q2.最終的な仕上がりについての満足度はいかがでしたか?
○○年ぶりの奇麗な前歯につい鏡を見て笑みを浮かべています。
Q3.治療のご感想
現存している歯に負担をかけずに治療したかったので先生との話し合いのなか進められて良かったです。。
Q4.これから始める方へのメッセージをお願いいたします
相談しながら治療をすすめていかれるので安心して始められます。
いろいろな選択肢があると思いますので、まずは思いきってお話しされるのが第一歩だと感じました。
院長のコメント
ずいぶん前から悩まれていたようです。引っかかってたのは、歯をたくさん削らないと奇麗にならないと説明されていたからだそうです。歯を奇麗にするのにもいろいろな方法があります。それぞれ一長一短がありますのでどれがベストかは患者さんによって変わります。皆さんがご存じないような方法もありますので、まずはご相談ください。ご希望に応じてベストの治療法をご提案致します。
テトラサイクリンによる変色歯をホワイトニングで奇麗にしました 用賀 女性 46歳 主婦

T.Y.様 用賀 女性 46歳 ご職業 主婦
Q1.治療の痛みについての印象はいかがでしたか?
治療中、治療後も痛みがなく安心して通えました。
Q2.最終的な仕上がりについての満足度はいかがでしたか?
来院してよかったです。
Q3.治療のご感想
歯科は痛いイメージがあり、クリーニングで行きたいと思いつつ足が遠のいていたので、今回とてもきれいに治療していただけて、もっと早く来るべきだったと思いました。
院長のコメント
銀歯をプラスチックに変える治療と、ホワイトニングを行いました。特にホワイトニングは、元の歯の色が小さい頃に飲んだ薬の影響でグレーになっていました(テトラサイクリンいよる)ので、半年近くホワイトニングに時間がかかりましたが、最初と比べるとかなりしろくなり、ほぼ平均的な歯の色に近づきました。
ホワイトニングは歯を削ることなく、色を白くすることができます。特にテトラサイクリン系の抗生剤の服用による変色歯で悩まれている方には一度チャレンジする価値はあると思います。決して、簡単ではありませんが、それ故に白くなったときの喜びは、他の方とはひと味も違ったものではないかと思います。
銀歯を白い歯にした患者さんのお声 世田谷区 女性 44歳 美容師

K.K.様 世田谷区 女性 44歳 ご職業 美容師
Q1.治療の痛みについての印象はいかがでしたか?
特に痛みはなく問題なかったです。
Q2.最終的な仕上がりについての満足度はいかがでしたか?
とても満足しています。
Q3.治療のご感想
歯を白くさせたくてこちらに来院したのですが、今までつめてあった虫歯を全部治療し白いセラミックにしてもらえたことがとてもうれしいです。
これからもずっとお世話ななりたいと思ってます。
Q4.これから始める方へのメッセージをお願いいたします
虫歯の治療を1日で治してもらえるのでとても楽だと思います。
院長のコメント
美容師さんのようにいつもお客様とお話をするお仕事をされている方は、特にお口の健康に気を使われているようです。当院には、たくさんの美容師さんがいらしています。
接客業の場合、見た目だけでなく、口臭にも気をつけなければなりませんから、日頃のお手入れが特に大切です。まさに、美容院に通うような感覚で定期的なメンテナンスを受けて頂くことで、虫歯予防はもちろんのこと、奇麗な白い歯を保ち、口臭を予防することができます。
1日で治る虫歯は、中等度の大きさまでの虫歯で、プラスチックを詰めることにより1回の治療で完了します。プラスチックでは不可能な大きな被せものは、セラミックで作りますが、これには数回かかります。












































