ホワイトニングは、女性がするものだと皆さん思われていませんか?
というより、以前は私がホワイトニングは若い女性がするものだという勝手な思い込みがありました。開業してホワイトニングを始めて見ると、意外と年配の方や男性にも希望者が多いことを気づかされました。
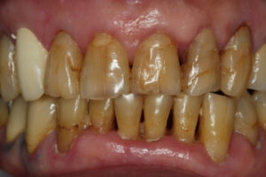
この症例は、もともと右上の犬歯(写真向かって左)を仮歯にした時に、他の歯も白くして欲しいとご要望があり、ホワイトニング、ダイレクトボンディング、オールセラミックを駆使してご覧のように仕上げました。
この方、実は80歳代の男性です。もともと、外見はとても80歳には見えない程お若いのですが、さすがに歯の状態はそうはいかないようで、これまでの年月が刻み込まれた歯となっていました。
これで、口元もすっかり若返りました。もちろん、お体もとても健康のようです。
歯をきれいにしたいと願うのは、年齢や性別は関係ないようです。皆さんも、お気軽にご相談ください。










