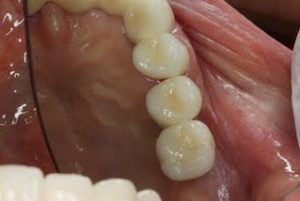
今日最終的なセラミックが入ったインプラントの症例です。
当院では、3社のインプラントをケースに応じて使い分けています。今日のケースはAstraというメーカーです。他社のインプラントが毎年のように新しい製品を出してくる中、Astraは昔から変わらぬ製品をかたくなに生産しています。しかも、それが古くさくなるどころか、他社がAstraのインプラントをまねて作るくらいに、最先端の性能をもったインプラントだと言えます。
歯茎に穴があいた写真をご覧ください。歯肉に炎症が全く認められず、とてもきれいな色をしています。真ん中の写真は土台を立てたところ。チタン製です。
そして、最後はその上にセラミックを被せたところです。見かけも機能もほぼ天然歯と変わりません。Astraインプラントの良さは追々説明していきます。
世田谷区・用賀の歯科ならヒラノデンタルオフィスのホームページはこちらから











