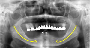
これは先日行った症例です。患者さんは、7年前に私が作った下の入れ歯を使っていらしたのですが、最近残りの2本の歯がグラグラしてきたために、インプラントを決断されました。
これまでの入れ歯でもそこそこ咬めるとおっしゃって頂いたのですが、やはりもっと咬めるようになりたいという希望が強くあったようです。そこで、患者さんが取り外しできるような入れ歯タイプではなく、取り外しのできないブリッジタイプをお勧めしました。
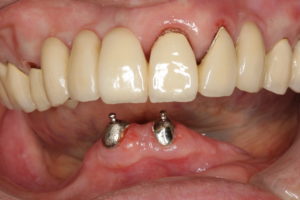
メリットとしては、入れ歯タイプより格段に安定してまるで自分の歯のように咬めるようになります。また、入れ歯の下に食べかすが入って痛くなることもありません。そしてなにより、インプラントを入れたその日から咬めるようになります。
普通、インプラントを入れたら骨に結合するまで3〜6ヶ月待ってからでないと負荷をかけられないのですが、4本以上のインプラントを確実に固定させ、それを仮歯でしっかりと連結することで、骨との結合を待つことなく負荷をかけることが可能となります。
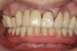
ですから、手術前は入れ歯だったのが、手術後にはまるで自分の歯のようなブリッジが出来上がり、食事ができるようになります。手術方法によってはほとんど腫れや痛みもありません。(今回は、余分な骨を削ったり、骨移植を行ったりしたため、翌日若干の痛みが出たそうです。)
手術当日に入れたブリッジは仮の歯なので、硬い物は控えて頂いていますが、3ヶ月後には最終的な物が出来上がり、なんでも食べられるようになります。入れ歯では食べられないような、アワビやタコのようなものも食べられるようになります。
ただし、嫌いな物は食べられるようになるとは限りませんが(以前治療後に「ずいぶんいろんなものが食べられるようになったけれど、嫌いな物だけは食べられるようにならないわ」とおっしゃっていた方がいらっしゃったもので・・・)。この症例の詳細は後日ご報告します。
世田谷区・用賀の歯科ならヒラノデンタルオフィスのホームページはこちらから












