さて、今日は審美の症例です。以前紹介したことのあるケースですが、先日久しぶりにメインテナスで来院されたため、写真を撮らせてもらいました。
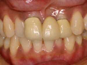
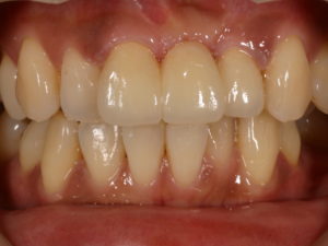
1枚目はちょうど4年前の術前、2枚目は初診から約半年後の術直後、3枚目は現在の写真です。
ブリッジを作るのに半年もかけたのですが、ブリッジの真ん中の歯の歯茎を見てください。この写真だと分かりづらいのですが、初診時よりボリュームが出てますよね。
このケースでは、歯のない部分の歯茎が足らなかったので、移植をしました。歯茎が安定した形を保つようになるまで約半年待たなければならなかったため少々時間をかけました。
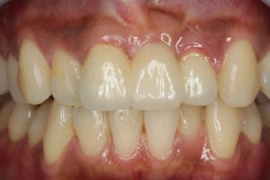
そして、3年半経ちましたが、ご覧のようにほとんど変化はありません。メタルを使わないオールセラミックにしたため歯と歯茎の境目が黒くなるようなことはありません。向かって右側の歯茎が若干炎症を起こしていますが、メインテナンスですぐに治るレベルです。
きれいな状態で戻ってきて頂くのを見ると、術者として非常に嬉しく思います。
さてこのきれいな奥様、お口の中は変わらずホッとしたところですが、お体には変化があったようです。ご懐妊なさったとのこと。おめでとうございます!元気な赤ちゃんを産んでください。
不思議なことに最近、当院に通院されている患者さんが立て続けにご懐妊されています。何かご利益でもあるのでしょうかね?「子宝歯科」とでも看板を変えましょうか?そこで、次回は妊婦さんの歯科治療について書いてみようと思います。(初めての予告ですね)











