instagrum
お問合せ

症例集

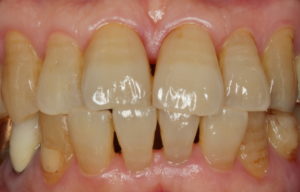
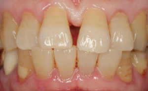
ダイレクトボンディングで前歯の隙間を修復した症例 

これは、2年以上前にレジン充填により前歯の隙間を埋めた症例です。本日メインテナンスに来院されましたので、写真を撮らせて頂きました。

説明はいりませんね。歯と歯の間に硬質レジンを充填しただけです。どこも削っていません。2年以上経過しても変色等もありません。

もちろん、これだけの審美性を再現するためには様々なテクニックや材料を使います。さらに、患者さんのお手入れもとても上手に出来ているのも、成功の秘訣です。

世田谷区・用賀の歯科ならヒラノデンタルオフィスのホームページはこちらから

平野 恭吉平野 恭吉

ヒラノデンタルオフィス 世田谷区用賀4−12−4

関連記事

最近の記事
  1. 歯を抜くことになる1番の原因は力!
  2. 歯周病が大腸癌を引き起こす
  3. 歯科検診の義務化と健康教育
おすすめ記事