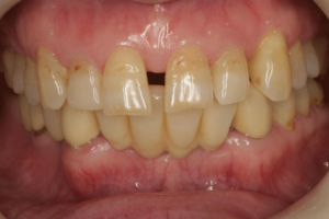
最近、きれいにしてほしいという患者さんがとても増えています。それが、女性だけではなく男性も増えています。その上、年齢も様々で、まさに老若男女と言った感じです。
審美は、美しくすること。しかし、この美しいというのも人によってまちまちなのです。できるだけ白くしたいと希望される方もいれば、自然な色合いを希望される方もいます。歯並びをきれいに揃えたいという方もいれば、矯正はしたくないとお考えの方もいます。
10人の患者さんがいれば、10通りのゴールがあるのです。ゴールは、私たち歯医者が決めることではなく、患者さんが決めることなのです。私たちができるのは、ゴールに向かうプロセスをご提案することだと考えています。
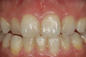
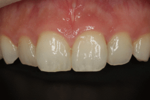
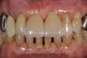
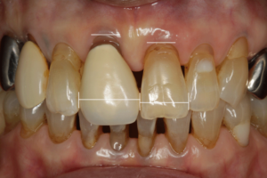
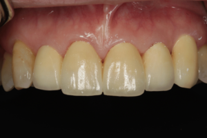
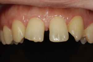
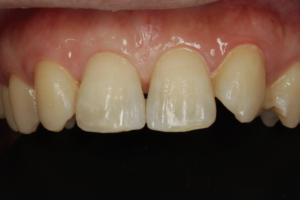
クリーニングやダイレクトボンディングなど、ほんのちょっと手を加えるだけで奇麗になるケースもあります。
歯の長さを揃えるたいのであれば、先端を削ったり、歯ぐきの高さを揃えたりします。
歯の隙間を埋めたいのであれば、矯正をしたり、ダイレクトボンディングをします。
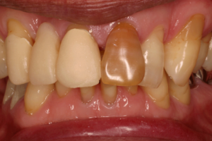
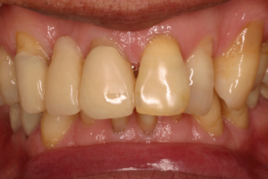
色をきれいにしたいのであれば、ホワイトニングをしたり、セラミックを被せたりします。
そして、これらの様々なテクニックを組み合わせて、患者さんの希望とするゴールを目指していくのです。
このホームページでは、様々な症例を掲載しています。そして、現在進行形の症例も今後載せていく予定です。その中から、ホームページをご覧になった方が、自分に似た症例を見つけたり、新たな技術を見つけて頂ければと思っています。
まずは、ご自分で悩まれる前にご相談ください。様々なオプションをご提案します。


















