前回に引き続き、歯周病と審美の症例をお見せします。
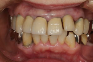
この症例は、今日前歯を装着したばかりのものです。初診時は、前症例と同様に「歯ぐきから出血する」「見た目を治したい」ということでした。
左上の前から2番目の歯(写真向かって右側)がずいぶん変な方向を向いていますが、レントゲンを撮ってみると歯の周りの骨がほとんどありません。いくつかの歯周病検査を行い、全体的には中等度の歯周病で部分的に重度の歯周病と診断しました。
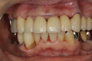
そして、方向の変わった歯は残念ながら抜歯ということになりましたが、問題はこの後に生じます。歯の周りに骨がなかったために、歯を抜いたら大きな凹みができてしまうのです(残念ながら、凹んでしまった写真を撮っていませんでした。)。
そこで、お口の中の奥の方から歯ぐきを取って、移植することにしました。歯ぐきを取ってきたのは、上顎の親知らずがあったところですから、採取部位の痛みはほとんどありません。
そして、歯周病治療に手を尽くし、最終的に金属を全く使わないオールセラミックで修復したのが最後の写真です。移植などを行ってなんとか体裁を整えることができましたが、歯周病が進行すると、審美的な修復を行うことが非常に難しくなることを示すいい症例だと思います。
歯周病は症状が現れにくく、重症化しやすいため、皆さんにも定期的なクリーニングと検診を強くお勧めします。
世田谷区・用賀の歯科ならヒラノデンタルオフィスのホームページはこちらから












