今日は、歯周病と審美の症例です。以前のブログで少し紹介しましたが、もう少し詳しくお伝えします。
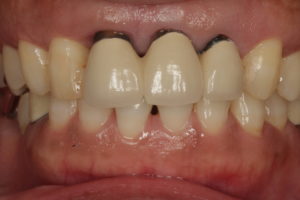
この患者さんは、歯ぐきからの出血と審美障害を訴えて来院されました。来院といっても、以前の勤務先で拝見しました。中等度の歯周病とセラミックを被せてある歯の根元の虫歯を治す必要がありました。
はじめに手を付けたのは、歯周病の治療です。歯磨き指導をおこない、毎日のお手入れを徹底して頂き、ご自分では取れない汚れ(歯石など)を丁寧に落としました。
ここで申し上げておかなければ行けないのは、この患者さんがこれまで歯のお手入れをしてこなかった訳ではないということです。毎日の歯磨きはしていましたし、歯医者にも通っていたりしたそうです。
問題は、「磨いたつもりでいたが、磨けていなかった。」のと、通っていた歯医者が歯周病の専門的知識を持っていなかったということだと思います。
さて、話を戻しますが、ブラッシング指導と歯石除去などの歯周病初期治療が終わると、初期治療では十分に治癒しなかった部位の外科的処置を行いました。この時点で歯周病の治療だけではなく、最終的な歯や歯肉の形態を考えて手術をおこないます。さもなくば、歯周病は治ったが、見るも無惨な前歯になってしまいます。
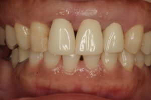
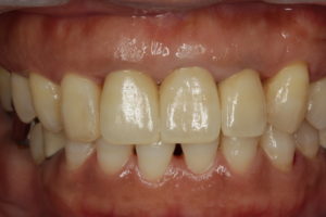
そして、仮歯で調和のとれた形態を作り上げ、歯肉の安定を半年以上待ちました。そして、2週間前に最終的なセラミックを入れたのが最後の写真です。ポイントは、歯と歯の間の隙間です。
3枚目の仮歯の写真は手術直後のものですが、仮歯の形態を少しずつ修正して歯と歯の隙間を埋め、歯肉の形態を左右のバランスがとれるように調節しました。これが、なかなか地道な作業です。
最初の写真と比べ、劇的に代わった前歯は、苦労のかいがあったという物です。約1年ものあいだ、本当にお疲れさまでした。
世田谷区・用賀の歯科ならヒラノデンタルオフィスのホームページはこちらから












