ついこの間まで夏日だったのに、今日はぐっと冷え込んで冬の足音が聞こえてきそうですね。
さて、今日は診療の終わりに前歯を折ってしまったという小学2年生が飛び込んできました。なんでも、学校で転倒してコンクリートに前歯をぶつけてしまったそうで、聞いているだけで寒くなるような事態です。我が家の長男も小学2年生で、他人事には思えません。
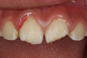
早速、診察したところ、歯がグラグラしていましたが、幸い歯の根は折れておらず、神経も露出していませんでした。ちなみに歯の根が折れていたら抜歯、神経が2mm異常露出していれば神経を取らなければなりません。
早速、ダイレクトボンディングと呼ばれる手法で修復しました。通常歯の色は単色ではなくいろんな色が混ざっているため、このように歯の1/3近い修復を行うためには、ざまざまな色を組み合わせて修復しないと、色が合わずに修復部位が目立ってしまいます。この症例でも合計4色のレジン(セラミックを含んだプラスティック)を用いました。
30分程かかりましたが、ご覧のようになんとか体裁が整いました。明日、学校で友達が治った歯を見て驚いてくれる様子を想像して、歯医者という仕事をしていて良かったと感じる症例でした。(ホームページの症例集でもいろいろと紹介していますのでご覧ください。)










