先日、結婚式を前に歯をきれいにしたいという方が来院されました。人生の晴れ舞台。特に女性なら、これまでの人生でどれだけこの日がくることを待ち望んでいたことでしょう。本当におめでとうございます。
そんな晴れ舞台にあわせて、歯をきれいにしたいとお考えになる方はたくさんいらっしゃいます。でも、忙しくてなかなか手が回らない方や大至急きれいにしたいという方にお勧めなのがこれ。歯のマニキュアです。
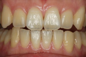
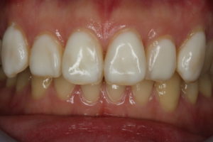
歯をクリーニングした後、表面にマニキュアを塗るだけでご覧のようになります。写真のアップで見ると少し違和感はありますが、会話の距離であればほとんど気づかれることはありません。費用も¥6,300とお手頃です。
大急ぎでとりあえず白くしたい方にはお勧めの方法です。










