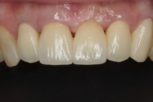
10日程前に前歯のブリッジを入れられた患者さんのチェックを昨日行いました。ジリッジを入れた直後は、歯と歯の間に隙間がありました。でも、「理論上、しばらくすると歯ぐきで塞がります。」と予言めいたことを言ったと思います。
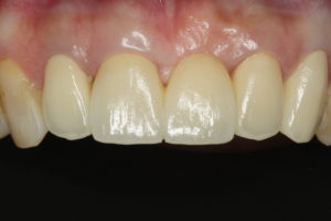
ご覧のように僅か10日で塞がりました。正直言って、こんなに早く塞がるとは思っていませんでしたが、予告通りの結果になりほっとしています。
私は、魔法使いではありません。偶然歯ぐきが盛り上がった訳でもありません。しっかりとした理論に基づいて治療を行うことで、予測ができるのです。経験や感も大切ですが、基本は地道に理論を積み重ねていくことではないかと思います。
前歯をきれいにしたいとお考えなら、お気軽にご相談ください。










