このところ、ちょっと忙しくて更新をさぼっていました。
さて、今日は1年前に入れたインプラントのメインテナンスについてのお話です。
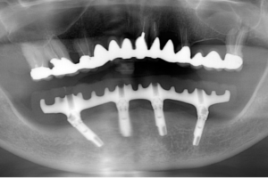
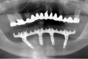
まずは、レントゲン写真をご覧ください。左が1年前、右が先日のものです。ほとんど変わらないですね。特に注目して頂きたいのが、インプラントの周囲の骨です。全く変化なしと言えます。
インプラントを長持ちさせるためにはメインテナンスは欠かせません。今回は、ちょうど1年経過したため念のため、ねじを外して上部構造と呼ばれる歯の部分の裏側の汚れを確認しました。
わずかに汚れは付いているものの、炎症を起こすような状態ではありませんでした。患者さんのお掃除の賜物です。
昨年インプラントを入れた後、患者さんにお礼と言われてお食事に誘われました。一緒にお食事していて、隣でバリバリといい音をさせているのを聞くと、こちらも嬉しくなってきました。
この患者さん、今年で81歳とのことですが、決してそうは見えません。おそらく、よく噛めることで口元の筋肉が発達して、年齢よりも若く見えるのではないかと思います。インプラントは、歯を補うだけではなく、顔貌をも若返らせてくれます。












