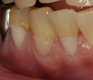
今日は、よくある症例をお見せします。歯の根元が、茶色くなってしまっている方いらっしゃいませんか?これは、歯肉がやせて歯の根が露出した後に起こる症状です。歯の根の虫歯ですね。
しかし、これをきれいに治すのが意外と難しいんです。特に、歯肉との境目をきれいに仕上げるのは至難の業です。この症例は、治したところの色と形態がマッチしていなかったためやり直しをしたものです。
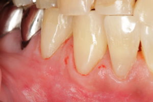
合計3本ですが、1時間30分かかってます。写真で見てこのレベルまで仕上げれば、肉眼ではよく目を凝らさないと詰め物は見えません。私も、肉眼ではわかりません。3.6倍のルーペを使って治療してます。
今日の患者さんは、さぞ大変だったろうと思いましたが、「リゾートのような音楽がかかっていたので半分寝てました。」とのことでした。今日は、フラダンスにはまっているスタッフの趣味で、ハワイアンが流れていました。
世田谷区・用賀の歯科ならヒラノデンタルオフィスのホームページはこちらから











